Barış Mah. Belediye Cad. Ginza Lavinya Park A Blok. No.30. Kat.3 Daire:27 Beylikdüzü / İSTANBUL
Cep: 0546 447 9500
YOL TARİFİ
Beyin tümörü nedir ?
Beyin dokusunun kendisi, beyin içerisindeki sinirlerden, beyindeki zarlardan, beyini çevreleyen kafa tası kemiğinden veya kafa tası çevresindeki kas dokusundan oluşan tümörler beynin birincil (primer) beyin tümörü veya vucudun başka bir organlarından (akciğer, meme, prostat v.b) beyine sirayet eden diğer organ kanserlerine metastaz veya ikincil ( sekonder) beyin tümörü adı verilir.
Beyin tümörü nasıl oluşur ?
Tüm vucuttaki organlarda olduğu gibi beyin içerisindeki hücrelerlerden tümör oluşmaktadır. Normalde hücreler gelişir büyür ve yaşlanır veya ölür yerine yeni yeni hücreler yapılır.Ancak anormal durumlarda bu yapım yıkım işlemi farklı çalışmaya başladığında ihtiyaç duyulmayan hücreler yapılmaya başladığında veya yapılan hücreler zamanında ölmediğinden yapılan gereksiz fazla hücre brikimi kümeleşmeye başlar' ki böylece o organda tümör denilen bir oluşum ortaya çıkar' ki bu brikime tümör adı verilmektedir. Her tümöre kanser denilemediğinden beyinden oluşanlara beyin tümörü adı verilmektedir.
Kaç tip beyin tümörü vardır ?
1: Birincil (primer) beyin tümörü
a: İyi huylu beyin tümörü (menengiom, schwanom, dermoid epidermoid kistler)
b: Kötü huylu beyin tümörü (glial tümörlerden, anaplastik ve glioblastoma multiforme)
2: İkincil (sekonder) beyin tümörü. Metastaz denilen bu tümörlere vucudun diğer organlardan beyine yayılan kanserlerdir.
İyi huylu beyin tümörleri
Bu tümörler beyin zarlarından (menengiom) veya beyin içerisindeki sinirlerden (schwanom), doğuştan gelen kalıntı tümörleri (dermoid, epidermoid kist) tümörler olup bu tümörlerin cerrahi tedavi sonuçları mükemmeldir.
Kötü huylu beyin tümörleri
Anormal veya hızla büyüyen beyin tömürleri olup hızla büyüdüğünden sağlıklı beyin hücrelerinin içerisine yayılırlar. Bu tümörlerin tedavi sonuçları tümörün yerleşimine, genişliğine, beraberindeki risk faktörlerine bağlı olarak değişmekle birlikte yaşam süresi uzatılmaktadır.
Başka bir organda oluşan kanser beyine yayılabilirmi?
Bu tür beyin tümörlerine metastatik beyin tümörü adı verilip, vücudun diğer organlarındaki (akciğer,meme,prostat,mide ve bağırsaklar) kanserli doku beyine sirayet edebilmektedir. Tüm kanserlerin %25 beyine metastaz yapmaktadır.
Beyin tümörü neden olur ? Kimlerde daha çok görülür?
Genellikle beyin tümörlerinin neden olduğu bilinmemekle birlikte bazı beyin tümörlerinin (Von - Hippel Lindau) kalıtsal (genetik) geçişli olduğu iyi bilinmektedir. Ancak beyin tümörlerinin oluşumunda bazı hazırlayıcı risk faktörleri vardır: Risk faktörleri ; Cinsiyet: Beyin tümörleri erkeklerde daha çok görülmektedir ancak menengiomlar kadınlarda daha sık görülmektedir.
Irk: Tüm beyin tümörleri beyaz ırkta daha fazla görülmektedir.
Yaş: 70 yaşın üzerindeki kişilerde beyin tümörlerinin görülme oranı daha fazla olup, çocukluk yaşında ise 10 yaşın altındakilerde beyincikte beyincik tümörleri daha sık görülmektedir.
Aile öyküsü: Ailesinde beyin glioması olan bireylerde beyin tümörü olma ihtimali daha fazladır. Bunlardan başka kafa travması, radyasyona maruz kalmak, bazı virusler, bazı kimyasal azo boyaları, ve bazı hormonlar beyin tümörü oluşumunda risk faktörü olarak bilinmektedir.
Beyin tümörlerinin en sık görülen belirtileri nelerdir?
Baş ağrısı (özellikle geceleri olan baş ağrısı)
Bulantı, kusma, çiftgörme, bulanık görme
Bayılma (sara nöbetleri)
Denge ve yürüme bozuklukları
Kollarda ve bacaklarda hissizlik, karıncalanma veya güç kaybı
Unutkanlık, kişilik bozuklukları, konuşma bozuklukları
Beyin tümörü nasıl teşhis edilir?
Günümüzde beyin tümörü teşhisi çok kolay ve çabuk konulmaktadır.
Nörolojik muayene : Yukarıda bahsedilen beyin tümörü şikayet ve bulguları olan kişilerde öncelikle iyi bir öykü, genel veya nörolojik muayene yapılması oldukça teşhiste önemlidir.
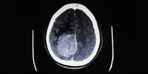
Teşhiste kullanılan tetkik yöntemleri: beyin tomografisi (BT) beyin manyetik rezonans görüntüleme (MRG). Bu test yöntemleri ile beyin tümörü yerleşimi, cinsi, hakkında ve büyüklüğü hakkında çabuk ve kısa sürede bilgi alınır.
Biopsi : Bazı beyin tümörlerinin teşhisinde beyin biopsisine ihtiyaç duyulur.
Beyin tümörlerinde tedavi seçenekleri nelerdir?
Beyin tümörünün tipine, yerleşimine, büyüklüğüne göre değişmekle birlikte tedavi seçenekleri arasında cerrahi, radyoterapi, kemotrapi gibi 3 farklı yöntem uygulanmaktadır.
Hangi beyin tümörlerinde cerrahi girişim yapılır?
Genel bir kural olarak tüm iyi huylu tümörlerde tümörün yerleşimine göre cerrahi girişim altın standart bir yöntemdir. Ancak tümörün cinsine göre habis olanlarda cerrahi tedavi sonrası radyoterapi ve kemoterapi ameliyat sonrası uygulanan ilave tedavi yöntemleridir.
Beyin tümörü ameliyatlarında başarı oranı nedir?
Genel bir kural olarak iyi huylu beyin tümörleri cerrahi ekibin tecrübesi uygun olarak tümörü tamamı alınabilen hastalarda sonuçlar mükemmeldir ve başka bir tedavi seçeneğine gerek yoktur. Ancak kötü huylu beyin tümörlerinde tümörün tamamı ameliyatla temizlenemezse ameliyat sonrası radyoterapi ve kemoterapi uygulanır. Bu grup tümörlerde her 3 tadavideki amac yaşam süresini uzatmaktır.
Beyin tümörlerinde radyasyon tedavisi nasıl yapılır?
Radyotrapi tüm beyne yapıldığı gibi bazı tümörlerde tümörün cinsi ve yerine göre sterotaksik radyoterapi gibi yöntemlerle yüksek enerjili ışınlar (x ışını, gamma ışını, proton) uygulanmaktadır. Radyoterapi ameliyattan sonra genellikle 1.ayda yapılmaktadır. Bu tedavinin amacı tümör hücrelerini öldürmek veya büyümesini baskılıyabilmek için uygulanmaktadır. Çok nadiren tümörün yerleşimine göre ameliyat edilemeyen hastalara ışın tedavisi uygulanabilir. Radyoterapinin uygulama şeması tümörün tipine, çapına ve hastanın yaşına, nörolojik bulgulara göre değişir. Radyoterapiyi uygulanırken tümörün etrafındaki sağlam beyin dokusunu korumak önemlidir.
Sonuç olarak
Günümüde beyin tümörü kendine has özel şikayet ve bulguları ile hastalar nörolojik branşlardaki hekimlere başvurmaktadır. Bu hekimlerin yaptığı; iyi bir öykü, nörolojik muayene ve ilgili görüntüleme yöntemleri (BT, MRG) ile kolaylıkla beyin tümörü teşhisi hızlı ve çabuk konulmaktadır. Tedavide beyin tümörü ameliyatı yapan hekim hastanın tüm verilerini ilgili diğer hekimlerle (radyasyon onkoloğu, medikal onkolok, patolok, radyolok) konsey konsültasyonu sonucu hangi tedaviye (ameliyat, radyoterapi, kemoterapi) uygun olduğuna karar verirler. İyi huylu tümörlerde cerrahi tedavi yöntemi tecrübeli ellerde yapılırsa eğer tümörün tamamı alınırsa ameliyat sonucu mükemmeldir. Yavaş büyüyen tümörlerde cerrahi tedavi sonuçları iyi-mükemmeldir. Hızlı büyüyen kötü huylu tümörlerde her 3 tedavi yönteminde amaç yaşam süresini uzatmaktır. Cerrahi tedavi günümüzde alt yapısı yüksek teknolojilerle donatılan gelişmiş merkezlerde ve tecrübeli ellerde yapılan ameliyatların sonucları mükemmeldir. Sonuç olarak beyin tümörün tedavisinden korkulmayıp teşhiste geç kalmadan korkulmalıdır. Beyin tümörü yapabilen tecrübeli beyin cerrahi hekimine gidilmesiyle hem beyin tümörü ameliyat süresi kısalmakta hem hasta daha erken işine dönebilmektedir.